1º Consulta - CheckUp Digital
|CheckUp com camera intra-oral |

O Check-up digital é um exame clínico, realizado em consultório, com CÂMERA INTRA-ORAL.
Como a câmera consegue visualizar tártaro, cárie, lesões bucais, infiltrações?
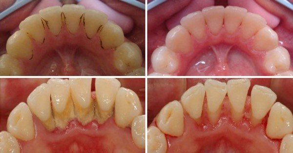
Rapagem Tártaro Dental | Cálculo Dental
Agende conosco um CheckUp Digital em Fortaleza
Caso você esteja em Fortaleza e queira marcar uma avaliação para saber se nescessita ou não da extração do dente SISO, clique no botão do Whatsapp e tire todas as suas dúvidas.
Quem realiza este procedimento?

Dra. Fernanda Santos
Cirurgião-Dentista
- Graduação em Odontologia pela Universidade de Fortaleza (UNIFOR), Brasil.- Pós Graduada em Cirurgia Oral. - Pós Graduada em Harmonização Facial.
Dentista em Fortaleza-CE
Dentistas egressos da Unifor desenvolvem máscara personalizada para impressão 3D
Em meio ao momento de tensão que estamos vivendo, diversas pessoas têm utilizado da criatividade para tentar, de alguma forma, impedir a contaminação pelo vírus. Foi pensando nisso que os jovens dentistas, Liberato Sabóia e Igor Ribeiro, graduados em Odontologia pela Universidade de Fortaleza, desenvolveram um protótipo de máscara personalizada, inteiramente digital, que deram o nome de “Personal3DMask”.
A ideia consiste em utilizar a tecnologia 3D para otimizar a proteção individual contra o novo coronavírus e, além disso de maneira sustentável, já que a impressão da máscara é realizada em impressora 3D, utilizando um filamento de PLA, que é derivado da casca da beterraba e totalmente biodegradável.




